BLOG

ブログ

毛穴汚れ
2021/09/27
エステでは、細かい柔らかいスチームを浴びながら、クリームクレンジングで毛穴の汚れをしっかり取り除きます。

それだけでも普段のご自宅ケアより汚れがよく落ちます。

更に、スチームを浴びながらのフェイシャルデコルテマッサージ。
数十分マッサージクリームをのせた状態でスチームを浴びっぱなしなので、お肌が、毛穴が柔らかくなっております。

そこで登場毛穴の汚れを取り除くガラス管!
スポスポと吸い上げながら汚れを吸い上げるのは、お客様もセラピストである私達自身も快感です笑

ただ、お肌に負担がかかるので、ご自宅で無理に鼻をつまんで汚れを押し出すような行為は決して行わないでくださいね。
毛穴汚れ
毛穴汚れ
お茶バイキング始めました。
2021/09/22
メナードの隠れ人気商品。
お茶!!!
.
.
去年は冬に開催されましたお茶バイキング。
.
.
今年はオーナーの気まぐれにより
本日スタート!
.
.
温かいお茶が美味しーーーい季節になってきましたね。
お湯だしですが、冷やして飲んでも美味しいのでオススメ。
.
.
この機会に是非色んな味を試してみては?✨
お茶バイキング始めました。
お茶バイキング始めました。
マスク荒れ、ニキビには
2021/09/20
メナードを代表する商品。
薬用ビューネ。

ニキビに効果がある、というイメージを持たれている方が多いのでは?

薬用ビューネはプレ化粧水です。
化粧水の前につける化粧水。

乾燥でカサカサ。
ごわつきでガサガサ。
なんだかわからないけどザラザラ。
汗をかいてブツブツ。
マスク荒れでブツブツザラザラ。

どんなお悩みの方にもまず薬用ビューネ。

バサバサザラザラの肌表面の皮膚たち。

バサバサの隙間から乾燥していったりしっかり化粧水が入らなかったり。

そのお肌表面をするんと滑らかに整えてくれるのが薬用ビューネ。

薬用ビューネをつけたあとは化粧水の入りがいい!

ニキビに効果があると言われたのは、肌表面の環境を整えた上で化粧水を入れているから。

バサバサザラザラ乾燥肌の上に化粧水を入れるより、しっかり整えてから化粧水を入れたほうが効果がある。
それだけです。

薬用ビューネは大人気のプレ化粧水です。
サロンでお試しいただけます。
サンプルがほしい!
という方もお気軽にご連絡ください!
マスク荒れ、ニキビには
マスク荒れ、ニキビには
毛穴ケア
2021/09/19
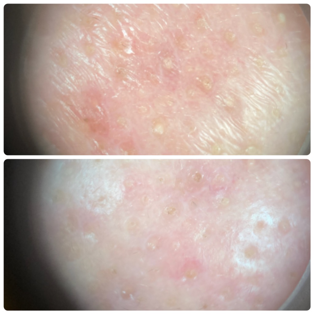
クレンジングをしたことがないお客様のお肌をスキンスコープで覗いてみました。

上が施術前、下が施術後。

少し汚れがとれましたね!

エステではガラス管を使用して毛穴汚れを吸い上げます。
吸い取りすぎるとお肌に負担がかかり、肌荒れの原因となります。

そのため、一度の施術では汚れを落とし切ることはできません。

毎日のクレンジングと定期的なエステでガラス管による毛穴汚れの吸い上げを行うことで少しずつ改善していきます。

で!
何が大事かというと…
クレンジングを毎日すること!

ここまで汚れが詰まってしまうと、エステにたまーにくるだけでは改善しません。

今からでも遅くないので、今日からクレンジングを毎日続けてみませんか?
毛穴ケア
毛穴ケア
夜間もご予約可能です。
2021/09/18
18時閉店となっておりますが、

仕事帰りにそのまま…
寝る前にエステでケア…
などをご希望の場合は、夜間もご予約可能です。

ですがですが…
当サロンはホームサロンであり、夜間は子供がおります!
子供の声も気にしないぜ!
という方限定でのご案内となりますのでご了承ください。
夜間ご希望の方は、公式LINEやInstagramのDMにて連絡くださると対応可能です。
是非ご利用ください。
夜間もご予約可能です。
夜間もご予約可能です。